Již více než deset let se 29. října připomíná Světový den lupénky, která má za cíl rozptýlit mýty o této nemoci, informovat veřejnost o příznacích i možnostech léčby a bojovat proti stigmatizaci pacientů s tímto kožním onemocněním.
V současnosti se Světový den lupénky slaví ve více než 70 zemích. Na celém světě žije nejméně 60 milionů lidí, kteří trpí neinfekčním zánětem kůže odborně nazývaným psoriáza. V různých koutech zeměkoule se však výskyt lupénky může lišit. „V Austrálii trpí lupénkou zhruba 4 % populace. V Japonsku je toto číslo asi 1 až 1,5 %. Když se ale podíváte na řadu evropských zemí, jako například Německo, objevuje se lupénka u zhruba 8 až 10 % lidí. V Maďarsku jsou tato čísla také poměrně vysoká. Výše na severu, ve Švédsku a Norsku je to více než 12 % populace. Znamená to tedy, že v různých částech světa se tato statistika může odlišovat. V České republice lupénkou trpí zhruba 6 % občanů,“ uvádí australský vědec Dr. Michael Tirant, který se o problematiku kožních onemocnění začal zajímat již v době studií, začátkem 80. let si otevřel dermatologickou praxi a od roku 1982 se na své Psoriasis & Skin Clinic specializuje na léčbu lupénky.
Spouštěčem může být infekce, stres, poranění kůže i interakce s léky
Lupénka je onemocnění způsobené urychleným životním cyklem kožních buněk, což vede ke vzniku rudých, svědících a šupinatých skvrn na kůži. Může se objevit v jakémkoli věku, nejčastěji však mezi 15 a 35 lety. Její příčina není zcela známa, ale předpokládá se, že se na jejím vzniku podílí genetické faktory, stres a některé další vlivy. „V dřívějším výzkumu, který jsme prováděli posledních 40 let, jsme objevili 2 typy spouštěčů, které způsobují propuknutí kožního onemocnění. Tyto dva typy nazýváme iniciační spouštěče a exacerbované (zhoršující) spouštěče. Známe čtyři druhy iniciačních spouštěčů, patří mezi ně: poranění kůže, interakce s léky a léčivy, bakteriální infekce, emoční stres a stavy úzkosti. Většina problémů je však způsobena bakteriálními infekcemi. Zejména u covidu-19 jsme v posledních dvou a půl až třech letech zaznamenali mnoho případů propuknutí kožních onemocnění, které jsme nikdy předtím neviděli,“ uvádí Michael Tirant. Podle dat Mezinárodní federace psoriatických asociací (International Federation of Psoriasis Association, IFPA)[1] navíc téměř 25 % lidí s psoriatickým onemocněním uvedlo zvýšenou úzkostnost během pandemie covidu-19. A právě stres a emoční vypětí je častým spouštěčem onemocnění.
Nejde jen o kůži…
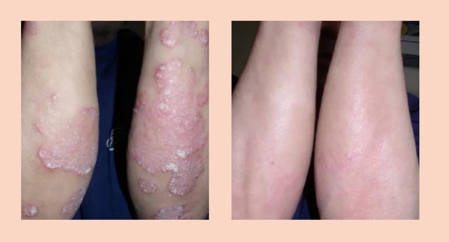
Existuje akutní a chronická forma psoriázy. Pro akutní formu jsou typické drobné červené flíčky na trupu a končetinách, které mohou svědit, pálit a způsobovat nepříjemné subjektivní pocity. Chronická psoriáza se obvykle vyskytuje na loktech, kolenou, kštici a dalších místech. Jedná se o takzvané plaky –větší ložiska červené barvy, nejčastěji s bílou nebo stříbrnou šupinou. Někdy lupénka postihuje rovněž klouby. „Je to choroba, která je výrazně spojena i s tzv. metabolickým syndromem (obezita, zvýšené hladiny lipidu v krvi) a zvýšeným rizikem vzniku kardiovaskulárních nemocí,“ doplňuje dermatoložka MUDr. Anna Jiráková, Ph.D. z klinického a výzkumného centra kožních nemocí Dermatologie prof. Hercogové. Díky informovanosti a přístupu ke zdravotní péči však mohou jedinci žijící s psoriázou riziko vzniku kardiovaskulárních onemocnění snížit a úspěšně léčit i samotné projevy nemoci na kůži.
Možnosti léčby jsou široké
Téma Světového dne psoriázy 2023 zní: „Dostupnost pro všechny“. Lidé s psoriatickým onemocněním musí mít dostupný přístup ke správné léčbě ve správný čas. V současné době se dá lupénka velmi dobře léčit a výzkum v oblasti komplexní péče postupuje každým dnem kupředu. Základem však je, aby pacient, u něhož se objeví příznaky lupénky, vyhledal lékařskou pomoc. Dermatolog pomůže určit typ lupénky a navrhne vhodnou léčbu. V České republice má většina pacientů mírnou formu, kdy se obvykle přistupuje k lokální léčbě. Používají se zejména masti, krémy nebo spreje obsahující buď deriváty vitaminu D3 v kombinaci s kortikosteroidem, nebo různě silné kortikoidy. U pacientů, kteří mají středně těžkou psoriázu, se kombinuje lokální léčba s fototerapií, což je léčba UVB světlem o vlnové délce 311 nanometrů, nebo fokusovaná čili cílená fototerapie excimerovým laserem o vlnové délce 308 nanometrů. U těžké formy psoriázy je léčba vždy celková.
Pacientům pomáhají účinné přírodní prostředky
Mnoho pacientů při boji s lupénkou využívá také přírodní prostředky. „Steroidy mohou být prospěšné a užitečné, ale mají i rizika a vedlejší účinky. Výsledkem je, že ke mně chodí hodně pacientů, kteří užívat steroidy nechtějí. Chtějí používat něco bezpečnějšího,“ uvádí Dr. Michael Tirant, který vyvinul účinnou metodu proti lupénce na bázi přírodních látek. Tato terapeutická sada na lupénku obsahuje tři produkty. Prvním krokem je gel, který slouží k peelingu (odlupování) odumřelé pokožky. Druhým krokem je krém, který napomáhá hojení. Tento krém obsahuje řadu složek s různými vlastnostmi, působí antioxidačně (zabraňuje vniknutí toxinů do pokožky), protizánětlivě a zabraňuje vysoušení a šupinatění. Třetím krokem je olej působící jako bariéra, která chrání postiženou pokožku a zabraňuje vysychání. „Lupénka je systematické onemocnění, což znamená, že se jedná o vnitřní chorobu. Jak ovšem pacienti vědí, po nějaké době se projevy lupénky vrátí. V průběhu let jsme zjistili, že když kombinujeme naše terapeutické sady s doplňky stravy, dosahujeme mnohem lepších výsledků. Náš doplněk stravy podporuje terapii pomocí živin s velkým množstvím kyseliny listové a dalších látek a minerálů, pacientům s lupénkou nesmírně prospívají,“ dodává Dr. Tirant. Kromě léčby je také důležité, aby se pacienti s lupénkou snažili o zdravý životní styl. To zahrnuje zdravou stravu, dostatek pohybu a kvalitní spánek. Nezanedbatelnou roli hraje také psychická pohoda.
U čtyř pětin pacientů má lupénka dopad na vztahy
Lupénka není nakažlivá, přesto čtyři z pěti osob s psoriatickým onemocněním se setkávají se stigmatizací a diskriminací[2]. Čelí například nepříjemným pohledům, lidé se jich štítí nebo mají obavy z jakéhokoliv kontaktu. „Je to neinfekční choroba, což znamená, že lupénkou opravdu nemůžeme nakazit druhého člověka, ani když jsme v blízkém kontaktu, nebo když v posilovně cvičíme na stejných podložkách,“ potvrzuje dermatoložka Anna Jiráková. Právě kvůli stigmatizaci mívá onemocnění mnohdy dopad i na psychiku a ovlivňuje tak celkovou kvalitu života pacientů i jejich blízkých. Duševní zdraví je proto stále více uznáváno jako významná součást psoriatického onemocnění. Pacienti mohou mít potíže s navazováním partnerských vztahů, ale i při hledání práce. 81 % lidí s lupénkou uvádí, že psoriáza má dopad na jejich vztahy, až 48 % psoriatiků trpí úzkostí. Celosvětově je u 1 z 10 osob trpících lupénkou diagnostikována klinická deprese.[3] Proto je důležité, aby se pacienti s lupénkou necítili sami a aby jim byla poskytnuta potřebná podpora. Právě to je jeden z cílů Světového dne lupénky.
| 5 nejčastějších mýtů o lupénce
Jedním z cílů osvětové akce Světový den lupénky je rozptýlení mýtů, které se s tímto onemocněním pojí. Patří k nim například tato tvrzení:
Lupénka je nakažlivá Toto je velice rozšířený mýtus. Lupénku ale v žádném případě nelze od někoho chytit, a to ani v blízkém kontaktu! Jedná se o neinfekční chronický zánět kůže, který je podmíněný geneticky a imunitně. Když se lidé s lupénkou objeví na veřejném koupališti, v bazéně, aquaparku či sauně, budí nevítanou pozornost a zraky ostatních návštěvníků se často stočí k ložiskům na kůži. Pro psoriatiky jsou to natolik diskomfortní situace, že se raději těmto místům, kde se odhaluje tělo, vyhýbají. „Myslím, že je to chyba. Pokud je choroba v chronickém stádiu, mohou pacienti normálně navštěvovat bazény i aquaparky, nemají se za co stydět,“ míní MUDr. Jiráková.
Přípravky Dr. Michaela Tiranta založené na přírodní bázi prošly řadou klinických studií. „Provedli jsme více než 20 nezávislých klinických testů, které ukázaly, že naše produkty fungují,“ uvádí Dr. Michael Tirant a dodává: „Provedli jsme mimo jiné i řadu klinických studií v nemocnicích Motol a Bulovka se zaměřením na účinky u dětí. Prokázala se až 82% úspěšnost v odstranění projevů lupénky. Navíc jsme nezaznamenali žádné závažné nežádoucí účinky. V některých případech se objevilo lehké svědění nebo drobné pálení, které ale časem odeznělo.“
Lupénka bývá u dětí vzácná, ale vyskytnout se může. U této věkové kategorie je prevalence cca 0,7–1 %. Nejčastěji propuká akutní výsev lupénky po infektech, často po streptokokové angíně. V takovém případě léčba pediatra obvykle nestačí. Je vhodné navštívit odborníka a zamířit přímo do ordinace dermatologa. Když lékař dítě dobře zaléčí, často pak mnoho let nebo dokonce celoživotně nemusí mít s lupénkou žádné problémy.
Hygiena je stejná jak pro člověka s psoriázou, tak i bez ní – dermatologové doporučují jednou denně osprchovat celé tělo. A rozhodně neplatí, že lidé s lupénkou by si za svou nemoc mohli sami nedostatečnou, anebo naopak přehnanou hygienou. U psoriatiků je však velmi důležité pokožku navíc pravidelně hydratovat, promazávat ji a pečovat o ni. Pomáhat mohou i solné či sirné koupele.
|
